Theo thông tin từ Bệnh viện Sản - Nhi Cà Mau, đơn vị vừa cấp cứu kịp thời một trường hợp bệnh nhi nuốt phải dị vật nguy hiểm là kim tây. Vụ việc là lời cảnh báo đến các bậc phụ huynh về nguy cơ tiềm ẩn từ những vật dụng nhỏ, sắc nhọn trong quá trình chăm sóc trẻ nhỏ.
- BIDV trao xe cứu thương cho Bệnh viện Sản - Nhi Cà Mau
- Trao 308 suất quà trung thu cho trẻ em đang điều trị tại Bệnh viện Sản – Nhi Cà Mau
- Bệnh viện Sản - Nhi Cà Mau chuyển đổi số mạnh mẽ với bệnh án điện tử
Trường hợp trên là bé trai T.B.Đ. (7 tháng tuổi), xã An Trạch, tỉnh Cà Mau. Bé được gia đình đưa đến bệnh viện trong tình trạng sốt, ho, khò khè kéo dài khoảng 2 ngày. Khai thác bệnh sử cho thấy, trong khoảng 3 tháng gần đây, bé thường xuyên bị ho và viêm hô hấp tái đi tái lại.
Theo người nhà, gia đình có thói quen dùng kim tây để ghim "bùa bình an" vào áo của bé. Tuy nhiên, trong lúc ngủ, bé vô tình làm bung kim và nuốt phải mà người lớn không hay biết. Khi thấy bé sốt đi sốt lại nhiều lần, gia đình đưa bé đến bệnh viện thăm khám thì sự việc mới được phát hiện.
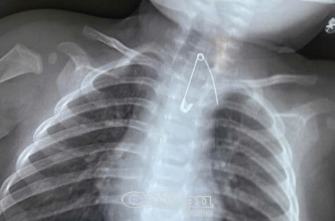
Hình ảnh chụp X- Quang dị vật kim tây mắc ở thực quản bé Đ.
Bà V.T.S., bà ngoại của cháu Đ. cho biết:“Người nhà dùng kim tây ghim miếng 'bùa' trên vai cho bé đỡ quấy khóc. Chiều đó vẫn còn thấy, nhưng lúc bé ngủ lăn qua lăn lại thì kim bung ra. Không ai nghĩ là bé nuốt, chỉ nghĩ là kim rơi đâu đó. Đến khi bác sĩ chụp phim mới phát hiện kim nằm trong người bé”.
Qua thăm khám lâm sàng và các xét nghiệm cận lâm sàng, các bác sĩ phát hiện một kim tây nằm trong mô mềm, ở vị trí 1/3 trên thực quản, rất gần động mạch chủ, tiềm ẩn nguy cơ biến chứng nghiêm trọng. Ê-kíp bác sĩ đã tiến hành can thiệp khẩn cấp và lấy dị vật ra an toàn.
Dị vật kim tây bé Đ nuốt phải được các Bác sĩ Bệnh viện Sản - Nhi Cà Mau gắp ra thành công.
Bác sĩ Ninh Thị Ly, Trưởng phòng Công tác xã hội Bệnh viện Sản - Nhi Cà Mau cho biết: “Bé 7 tháng tuổi đã nuốt kim tây vào đường tiêu hóa. Đầu mũi kim nằm rất gần động mạch chủ nên quá trình can thiệp đòi hỏi sự cẩn trọng và khéo léo để tránh gây tổn thương nguy hiểm cho bé”.
Không chỉ riêng trường hợp trên, thời gian qua Bệnh viện Sản - Nhi Cà Mau còn tiếp nhận nhiều ca trẻ nuốt dị vật khác. Điển hình là trường hợp bé H.T.N. (5 tuổi), xã Cái Nước, nhập viện trong tình trạng đau bụng kéo dài 3 ngày kèm sốt.
Theo gia đình, bé N. có thói quen ăn kẹo mút. Qua thăm khám và thực hiện các xét nghiệm cần thiết, các bác sĩ xác định bé bị viêm phúc mạc nặng, buộc phải phẫu thuật khẩn cấp. Trong quá trình phẫu thuật nội soi, ê-kíp phát hiện nhiều dịch mủ lan toả trong ổ bụng và một dị vật là ống nhựa cứng màu trắng, dài khoảng 6cm, xuyên thủng mặt dưới tá tràng. Sau 15 ngày điều trị tích cực tại khoa Ngoại Nhi, sức khỏe của bé N. đã hồi phục tốt.
Bé T.B.Đ (7 tháng tuổi), ngụ xã An Trạch, tỉnh Cà Mau nuốt dị vật là kim tây đã được các bác sĩ Bệnh viện Sản - Nhi Cà Mau nội soi gắp dị vật ra thành công, sức khỏe bé đã ổn định.
Những vụ việc này, một lần nữa là lời cảnh báo đối với các bậc phụ huynh cần cẩn trọng trong quá trình chăm sóc con em mình, nhất là đối với trẻ dưới 3 tuổi.
Bác sĩ Ninh Thị Ly, Trưởng phòng Công tác xã hội Bệnh viện Sản - Nhi Cà Mau khuyến nghị: “Nhiều trường hợp trẻ nuốt dị vật không có triệu chứng rõ ràng ngay, dễ nhầm với các bệnh lý hô hấp hoặc tiêu hóa thông thường. Khi trẻ có biểu hiện ho kéo dài, khò khè, đau bụng, nôn ói dai dẳng, phụ huynh cần đưa trẻ đến cơ sở y tế để được thăm khám, loại trừ nguy cơ dị vật, tránh biến chứng nguy hiểm đến tính mạng”.
Dị vật đường tiêu hóa là tai nạn thường gặp ở trẻ nhỏ, vì vậy phụ huynh cần theo dõi sát các biểu hiện bất thường của trẻ, tránh để trẻ tiếp xúc với các vật sắc nhọn, đồ chơi không phù hợp với độ tuổi, nhằm phòng ngừa những tai nạn đáng tiếc có thể xảy ra.
Chí Diện

Truyền hình







Xem thêm bình luận